Teeth straightening
Orthodontics
These days having your teeth straightened does not mean having to be self-conscious about wearing braces – modern technology and techniques mean we can now offer a choice of virtually invisible appliances.

Invisalign clear aligners
Invisalign aligners are made of clear, removable plastic. They are virtually invisible when you are wearing them, and because they are removable you can easily take them out to clean and floss your teeth without struggling to reach beyond a series of wires.
You wear each set of aligners for about two weeks, removing them only to eat and clean your teeth. Little by little, the aligners will move the position of your teeth until they are in their final, beautifully straight position.
Invisalign case study examples
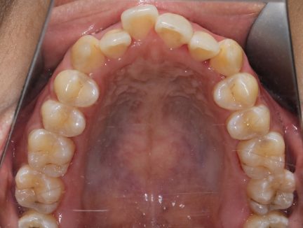
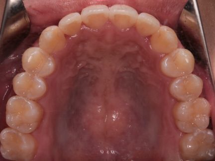
Case study 1

Before

After
Case study 2

Before

After

QuickStraightTeeth™
We also offer the QuickStraightTeeth™ orthodontic system. These tooth coloured braces are discreet and have a proven track-record for their performance. Treatments can take as little as 6 months to complete so is ideal for people who are self-conscious about their misaligned teeth, but who don’t want to commit to lengthy treatments.
If you would like to discuss having your teeth straightened, please book a no-obligation consultation at Dental Spa Solutions to discuss the options available.